Autor: Mgr. Jakub Katolický
Tendinopatie Achillovy šlachy sužují populaci napříč profesionálními sportovci, ale také nesportujícími osobami už stovky let. Díky moderní medicíně a molekulární biologii jsme však již na cestě k pochopení vzniku, léčbě i prevenci těchto obtíží. Tento článek shrnuje zásadní fakta, na která by měl být kladen důraz nejen ze strany pacientů, ale také specialistů ve zdravotnictví.
Dle nejaktuálnějšího mezinárodního konsenzu světového sympozia tendinopatií [1] je tendinopatie AŠ definována jako soubor klinických symptomů, které zahrnují neustupující bolest (zpravidla více jak 2 měsíce) s limitací funkce šlachy spojené se zátěží. To je vcelku logické označení. Ale pokud chceme bolesti v oblasti AŠ cíleně léčit, musíme vědět, co chceme cíleně léčit. Tyto symptomy totiž může způsobovat celá řada problémů, které se nemusejí dotýkat vlastní šlachy, natož jejího těla — např. aktivní trigger point, chronické přetížení lýtkového svalu, retrokalkaneální burzitida, parciální ruptury apod. Každý z nich může mít jinou etiologii, patogenezi, a z toho důvodu i různou reakci na stejnou formu terapie.
V případě obtíží v rámci myofasciálního systému (trigger point, přetížení lýtkového svalu apod.) je z klinické zkušenosti léčba poměrně jednoduchá a vyžaduje většinou režimová opatření (změny v tréninku, nutričních či regeneračních postupech) v kombinaci s lokálním ošetřením (přímá masáž, dry needling, fasciální manipulace apod.). Nicméně musíme mít na paměti, že takové situace mohou být předstupněm vzniku patologických změn ve šlaše v důsledku opakovaného přetěžování. Je tedy potřeba pracovat s tělem jako celkem, a kromě výše zmíněného analyzovat a ovlivňovat svalové dysbalance či svalovou souhru v pohybu. Postižení retrokalkaneální burzy či parciální ruptury mívají komplikovanější a dlouhotrvající léčbu, často recidivují a jsou faktorem vedoucím k omezení aktivit. To ve sportu může znamenat velkou komplikaci.
Obr. 1: Patologicky rozšířená Achillova šlacha (pruh s vláknitou strukturou v horní polovině snímku) s mírnou poruchou integrity vláken
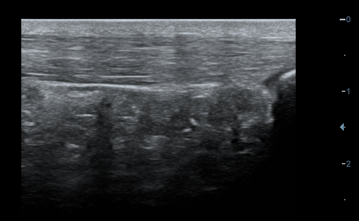
Obr. 2: Extrémně vřetenovitě rozšířená Achillova šlacha s prokázanou patologickou neovaskularizací
Chronická tendinopatie AŠ je komplexní záležitostí a – buďme pokornými realisty – velmi pravděpodobně neodhalíme všechny faktory. Můžeme se však snažit být co nejpřesnější. Z toho důvodu je důležité v rámci diagnostiky zjistit, co může být nejpravděpodobnější příčinou obtíží. Odrážíme se od klinických příznaků, vyšetření, ale klíčovou roli v diferenciální diagnostice hrají zobrazovací metody. Nejvhodnější a nejdostupnější je ultrazvukové vyšetření, které nám pomáhá označit či vyloučit výraznou strukturální patologii. Je potřeba zdůraznit, že i při zdánlivé absenci ji nelze vyloučit. Pokud se nejedná se o akutně vzniklý problém, musíme si uvědomit, že jde o důsledek, jehož příčina vzniku má mnohem širší kontext, do nějž je napojena celá řada interních i externích faktorů. Při volbě terapie je tedy velmi důležité nastavit lokální léčbu patologicky změněné struktury, ale také se sekundárně zaměřit na všechny ovlivnitelné faktory, které by mohly hrát roli v jejím vzniku (typ obuvi, změna intenzity zátěže, biomechanické postavení dolních končetin, svalové dysbalance apod.).
V současné době je předmětem světových výzkumů efektivita různých konzervativních léčebných postupů v řešení tendinopatií AŠ se strukturálně změněným tělem šlachy. Za zlatý standard léčby je považován odporový trénink [2], který je možné použít i v rámci prevence. Evidence based postupy nabízejí různé formy tréninku, které jsou efektivní především pro tendinopatie ve středové části šlachy. Za zmínku stojí historicky nejpoužívanější Alfredson protokol [3] , který by dle vyjádření některých autorů měl být již nahrazen modernějšími protokoly, jako je Silbernagel [2] či Heavy Slow Resistant protokol [4] .
Odporový trénink vyvolává přímou mechanickou stimulací odpověď především ve formě produkce hojivých faktorů, příznivé změny v mikroarchitektuře šlachy (zejm. prostřednictvím syntézy a uspořádání kolagenu), mechanické i neuromuskulární adaptace šlachy a celého organismu na zátěž. Je důležité mít na paměti, že k prvním pozorovatelným strukturálním změnám na šlachách dochází až po cvičení trvajícím minimálně 8 týdnů. Zároveň pro efektivní adaptaci na vyšší zátěž a snížení rizika vzniku patologie je potřeba takové cvičení zahrnout do tréninkových programů a provádět ho výrazně déle s průběžnými úpravami dle aktuálních potřeb. I přes to, že klinický efekt se mezi protokoly neliší [5], mohou mít různý dopad na adaptaci morfologie šlachy. Z toho důvodu měl by měly být voleny individuálně s přihlédnutím na potřeby, cíle a možnosti pacienta či sportovce.
Pokud máme evidentní vazbu mezi klinickými příznaky a přítomností patologicky změněné struktury těla šlachy zhodnotitelné ultrasonograficky či MRI, je na místě zvážit kombinaci odporového tréninku s rázovou vlnou. Podíváme-li se do odborné literatury, zjistíme, že pacienti léčení kombinací odporového tréninku s rázovou vlnou dosahovali lepších výsledků, než při samostatném použití tréninku či rázové vlny.[6] Rázová vlna (radiální i fokusovaná) je vhodným doplňkem pro podporu, indukci či urychlení hojivých procesů, ale neměla by být primárně používána jako samostatná terapie.
Na závěr bychom chtěli velice doporučit lékařům a fyzioterapeutům, aby si v této problematice aktualizovali své znalosti z odborné literatury či prostřednictvím specializovaných kurzů, jelikož efektivní terapie je často velice jednoduchá, efektivní a v podstatě i levná.
Pacientům s těmito obtížemi bychom rádi vzkázali, že v současné době probíhá v Praze klinická studie léčby bolestí Achillovy šlachy, ve které je sledován vliv léčby na změnu struktury šlachy s dlouhodobým sledováním (9 měsíců) a jsou využívány pouze postupy, jejichž efektivita byla prokázána — odoporový trénink a kombinace s fokusovanou rázovou vlnou. Pro více informací včetně podmínek pro přihlášení navštivte https://jakubkatolicky.cz/projekt-achilles/.
[1] Scott A, et al. ICON 2019: International Scientific Tendinopathy Symposium Consensus: Clinical Terminology. Br J Sports Med, 2020.
[2] Silbernagel K, et al. Current Clinical Concepts: Conservative Management of Achilles Tendinopathy. J Athl Train, 2020.
[3] Alfredson H. Conservative management of Achilles tendinopathy: new ideas. Foot Ankle Clin, 2005.
[4] Beyer R., et al. Heavy slow resistance versus eccentric training as treatment for Achilles tendinopathy: A randomized controlled trial. Amer J Sports Med, 2015.
[5] Pavone V., et al. Conservative Treatment of Chronic Achilles Tendinopathy: A Systematic Review. J Funct Morphol Kinesiol, 2019.
[6] Martin RL, et al. Achilles pain, stiffness, and muscle power deficits: midportion achilles tendinopathy revision. J Orthop Sports Phys Ther, 2018.


